Costo:
1300 MXNDuración:
30 minutosTiempo de Recuperación:
No es necesaria la recuperaciónEntrega de Resultados:
inmediatoRequisitos:
El costo incluye consulta ginecológica.
No duchas vaginales, relaciones sexuales o cremas vaginales 48 horas antes
Tu Ginecólogo en Cancún
Ofrecemos múltiples servicios ( ver menú principal)
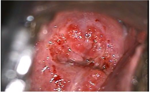
La colposcopía consiste en la observación a través de un microscopio o lente de aumento que permite visualizar a mayor tamaño los tejidos y que sirve para detectar lesiones tanto benignas como malignas a nivel de cuello, vagina y vulva.
- Se realiza en mujeres con alteraciones detectadas en el Papanicolaou o con riesgo de tener infección por el virus del papiloma humano.
- La colposcopía no provoca dolor y se realiza en pocos minutos, es seguro y no requiere hospitalización.
Cuanto se establece la presencia de virus del papiloma humano en cérvix o vagina, se debe tomar una biopsia guiada por colposcopia (tomar un pedacito mediante una pinza especial), de esta manera el patólogo que es e encargado de analizar el tejido enviado podrá decirnos con certeza que grado de avance tiene la lesión.
¿Por qué es tan importante establecer el grado de la infección por virus del Papiloma humano? Porque dependiente del grado, será el tratamiento necesario, no tomar una biopsia nos expone a no tratar de manera adecuada, ósea infra tratar.
- En el caso de los hombres, contamos con la Androscopía que consiste en la observación del pene con un microscopio de aumento que permite identificar lesiones asociadas al virus del papiloma humano en el glande y prepucio.
- Se entrega un reporte escrito con la descripción de las características del cuello uterino, en formato impreso al salir de la consulta.
En las imágenes anexadas podemos ver unos ejemplos de colposcopias positivas para virus del papiloma humano, las revisiones periódicas son muy importantes, pues el virus del papiloma humano es el causante del cáncer cervicouterino y no se suelen presentar molestias hasta que ya son etapas muy avanzadas.
Agenda tu cita para tu chequeo anual con tu ginecólogo en Cancún, Dr. Karl-Heinz Seubert y no olvides preguntar por tu colposcopia, como parte de tu revisión rutinaria.





